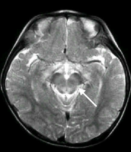
2歲女孩,手足口疾病合併腦炎

腦炎侵犯 
中腦的中央及後面
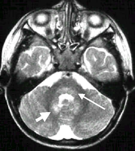
腦炎侵犯
橋腦的後及腦齒狀核  
腦炎更往下
侵犯脊髓   

 

 

腦炎侵犯
中腦的中央及橋腦、延腦的後面及小腦齒狀核,
更往下侵犯脊髓

 

 

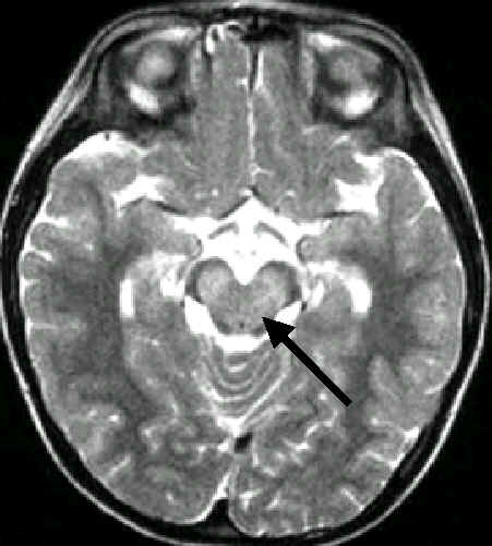
4歲男孩,手足口疾病合併腦炎

腦炎侵犯
中腦的中央
(箭頭所指變亮之處)
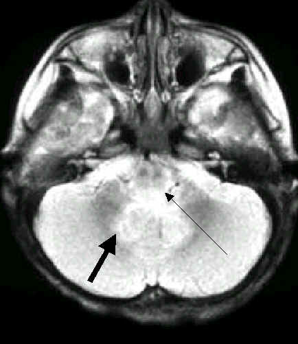
腦炎侵犯
橋腦的後面
(細長箭)
及小腦齒狀核(粗短箭)