如果要票選1998年五、六月報紙及電視新聞的熱門人物之一,「腸病毒
71型」(enterovirus 71) 鐵定會上榜。
自五月起國內各大醫院及小兒科診所陸續發現大量罹患手足口症的幼童
,其中少部份併發腦炎,症狀迅速惡化,甚至死亡,經初步檢驗出元凶是「
腸病毒71型」。其中1例死亡幼童已由脊髓及腦幹的延腦培養出腸病毒71型,
因此這波手足口症及腦炎元凶應是腸病毒71型無疑!
腸病毒71型到底是何方凶煞,把台灣弄得雞犬不寧?我們特地搜尋文獻
,期望能由它過去的惡形劣跡尋找一些蛛絲馬跡(詳細請見附表)。
腸病毒71型最早是1969~1973年自美國加州一些腦膜炎以及小兒麻痺似症
狀的病患分離出來的一種新的腸病毒;同時期澳洲、瑞典、日本也有手足口
症及無菌性腦炎流行,並且也分離出同型的腸病毒,這時大家才知道有腸病
毒71型這型病毒。而在1975年保加利亞一次較大的流行,有記錄的705例中,
21% 發生小兒麻痺似症狀,其中44例死亡,這是首次記錄到大量死亡的國家
。1978日本又爆發另一次手足口症流行,有692名幼童受腸病毒71型感染,其
中也有併發腦膜炎、腦炎,但都能順利復原。同年在東歐的匈牙利也有大流
行,症狀則以小兒麻痺似症狀為主,也都復原。此後世界各地,包括我們鄰
近的香港(1986年)都有一些零星的報告,但都認為腸病毒71型不會致死。
到1997年馬來西亞爆發一次嚴重的腸病毒71型,而且合併嚴重的中樞神經系
統感染。有4例屍體解剖可見腦幹、脊髓發炎,並分離出腸病毒71型,而這些
幼兒臨床症狀非常類似台灣這次的腸病毒腦炎,也就是先有手足口症狀,發
燒三、四天後,突然變昏睡、煩躁,然後呼吸急促,心跳加快,並很快的心
肺衰竭、休克,而死亡。
由過去的文獻可見,腸病毒71型在七十及八十年代曾在世界各地爆發流
行,引發各種不同的臨床疾病,包括手足口症、腦膜炎、腦炎、小兒麻痺似
症狀,但除了1975年保加利亞死了44名幼兒之外,一般都認為它的死亡率不
高,九十年代之後文獻上就鮮少看到它爆發流行,但1997年它在馬來西亞肆
虐時,似乎變得更加凶猛,此次在台灣短短一個多月時間,它已奪走了五十
名幼童的生命,種種症狀顯示,這些腸病毒71型似乎與馬來西亞的相同,因
此應高度懷疑是由馬來西亞傳來的。
至於會肆虐多久?根據日本1973,1978年的記錄,爆發流行後三個月是高
峰期,所以台灣這一波腸病毒流行,可能要七月過後才會緩和下來。
腸病毒71型在世界各地流行情形
|
|
|
|
1969-1973
|
美國加州(1)
|
|
腦膜炎 (10人)
腦炎(7人,其中1例死亡)
腦膜腦炎 (1人)
不明(2人)
|
1972
|
澳洲墨爾本
|
|
無菌性腦膜炎(39人),神經炎(1人),
某些有手足口症、呼吸道感染
|
1973
|
瑞典
|
|
主要是無菌性腦膜炎,手足口症(9人)
|
1973
|
日本(1)
|
|
7月36人,8月156人,9月114人,10月27人
,10月2人
手足口症, 24% CNS complication
(腦膜炎、腦炎、小兒麻痺似單肢麻痺)
|
1975
|
保加利亞
|
|
21% 發生類似小兒麻痺症(149人),其中
44例死亡,1例屍體解剖顯示病變在脊髓。
另外也有腦膜炎、腦炎
一些有單肢麻痺,一些有心肌炎
|
1977
|
美國紐約
|
|
手足口症
腦膜炎
腦炎
單肢麻痺
|
1978
|
日本
|
|
5月121人,6月426人,7月173人,8月9人,
9月3人
手足口症, CNS 8% (腦膜炎、腦炎)
|
1978
|
匈牙利
|
|
手足口症
腦膜炎(826人)
腦炎(724人),其中45人死亡
小兒麻痺似症(13人)
|
1984
|
蘇格蘭
|
|
小兒麻痺似症
|
1986
|
香港
|
|
手足口症人數不明
單肢麻痺(5人),40天內全部復原
|
1986
|
澳洲
|
|
腦膜炎及腦炎(34例)
手足口症(61例)
呼吸道疾病(35例,其中7例肺炎)
|
1977-1991
|
美國
|
|
CDC(疾病控制及預防中心)轄下的腸病毒
監控系統報告全美這14年內193例,其中
1987較多,有45例,以腦膜炎、腦炎及手
足口症居多。
|
1997
|
馬來西亞(註)
|
|
31人死亡
嚴重腦炎,臨床症狀類似台灣,解剖發現
病變在腦幹、脊髓,並分離出腸病毒71型。
|
[註:馬來西亞的病例在正式醫學雜誌上搜尋不到,資料是參考馬來西亞大學微生物科Lam教授在
美國健康網路BBS站上張貼的資料。]
(1) Ishimaru Y et al: Outbreaks of hand, foot, and mouth disease by enterovirus 71. Archives of Disease in
Childhood 1980;55:583-8.
Outbreak in Japan, 1973:
CNS complications were observed in 24% , in 96%, the CNS disorder appeared between days 2 and 4 after the
onset of HFMD.
Type 1 (5 cases) : No cerebral dysfunction or meningeal irritation, with pleocytosis in CSF
Type 2 (15 cases): Meningitis accompanied by signs of meningeal irritation.
Type 3 (59 cases): Localized encephalitis affecting mainly the cerebellum, manifestating itself as:
ataxia (suggested cerebellar vermis dysfunction)
intention tremor, inability to walk straight and nystagmus which suggested cerebellar hemispheric dysfunction
myoclonus, suggested subthalamic reticular structures or thalamic dysfunction.
Type 4. Flaccid paralysis (2 cases): suggesting injury to anterior horn cells or to peripheral nerves.
Outbreak in Japan, 1978:
CNS complications were observed in 8%,
Type 1 (24 cases) :
Type 2 (6 cases):
Type 3 (24 cases):
Type 4. (0 cases):
Dermatotropic tendency was more evident in the 1978 strain than in the 1973 strain.
蔡長海 院長、小兒神經科專科醫師
沈戊忠放射線部主任、神經放射科專科醫師
彭慶添 陳偉德 蘇百弘 丘秀慧
此波肆虐全台灣的腸病毒,除了引發典型的手足口疾病之外,又有一部
分罹病幼童症狀變化很快,須住進加護病房,甚至瘁死。這些嚴重的病
患有明顯的腦炎症狀,兒科專家們根據臨床症狀,推測腦炎的位置是在
腦幹,來台協助了解疫情的三位美國疫情專家也說根據去年馬來西亞大
流行死亡病例解剖,確實是侵犯到腦幹。可是大家都苦無機會在活體上
看到腦幹被侵犯的位置。磁振造影(MRI)是最被期待能看到腦炎位置的最
好診斷工具,但在這波大流行期間除了中部一家教學醫院說他們的MRI有
些發現之外,各大醫院至今仍沒有直接看到腸病毒腦炎的證據。
本院自今年五月至今門診已診療過一千六百多例腸病毒引起手足口
疾病,20人有腦炎跡象,其中12人病況嚴重住入小兒加護病房。這些病
患7人做了MRI,前四人中只有一例在腦幹的橋腦後面有一點不正常訊號
,我們不敢確認是否有意義?但最近的三人,則都可明確地看到在中腦正
中央,橋腦後面,以及小腦齒狀核有明確的不正常訊號,其中一人延腦
後方也有,最嚴重的一例除了上述腦幹位置及小腦齒狀核之外,更往下
侵犯到頸椎的脊髓。MRI所發現的這些腦炎侵犯腦幹的證據,與臨床症狀
相吻合,也就是嗜睡、呼吸困難、血壓下降,而小腦的侵犯也可以解釋
雙手顫抖、步態不穩(一例四歲男孩)。
七例中有三例這麼明顯的發現,因此可以做一個初步的結論:
MRI 的影像顯示腸病毒引發的腦炎是侵犯
腦幹之中腦、橋腦的後方
以及小腦的齒狀核
嚴重者往下侵犯到
延腦的後方
甚至到頸椎的脊髓
由於本院小兒科醫師們一開始就認為此次腸病毒引起的腦炎位置是
在腦幹,而且自急診到加護病房,醫護人員都能發揮團隊精神,因此本
院治療成功率非常高,這些侵犯腦幹的腦炎患者,除了二位目前處於危
險期仍住在加護病房,其餘都已轉到普通病房或出院。

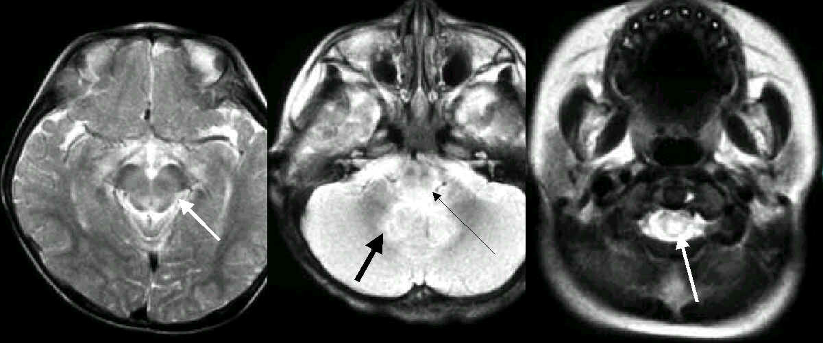
4/y boy, hand-foot-mouth disease associated with encephalitis, caused
by enterovirus 71
|
|
|
Hyperintensity lesions in the midbrain, the cortico-spinal tractsare spared.
|
Hyperintensity lesionsin the posterior aspect of pons, and the bilateral dentate nuclei of cerebellum.
|
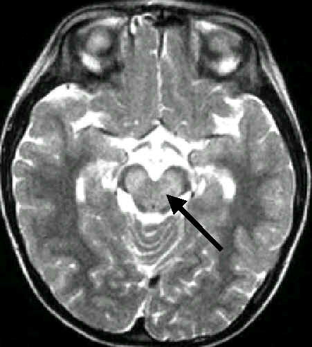
2/y girl, hand-foot-mouth disease associated with encephalitis, caused by
enterovirus 71
|
|
Hyperintensity lesions
in the midbrain, the
cortico-spinal tractsare
spared.
|
Hyperintensity lesions
in the posterior aspect
of pons,and the bilateral
dentate nuclei of
cerebellum.
|
The cervicalspinal
cord is also involved.
|
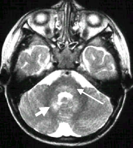
2/y girl, hand-foot-mouth disease associated with encephalitis, caused by enterovirus 71
|
|
|
Hyperintensity lesions in the posterior aspect of pons & medulla
oblongata, and the bilateral dentate nuclei of cerebellum, and downward to the cervical
spinal cord.
|
<本刊訊>這一波手足口病疑似腸病毒感染,造成社會大眾,為人父母極度
恐慌,大家都急於知道其致病機轉,預防之道,以及最重要的,如何能夠治
療康復。本院自5月份以來,在門診及急診病例,因手足口病而來就診之病患
計有2889人次,其中82人因病情較嚴重或有合併症而需住院,在這82人之中
有34人合併腦炎,腦膜炎或脊髓炎等中樞神經症狀,其中17人病情極為嚴重
需住進加護病房急救,這17人中有12人經急救加護已完全康復或病況穩定,
其中有2例病童來院時便有休克、昏迷、肺水腫、肺出血等致命症狀,但在本
院兒科部全體醫師的治療急救下,由鬼門關邊緣救回。
本院已從部份病童身上分離出腸病毒71型,並且利用核磁共振掃描影像
,已在兩例病情嚴重之病童身上,發現在中腦、橋腦、小腦有明顯之病變。
因此這一波的感染,腸病毒71型可能難逃關係,且主要可能因為侵犯中腦、
腦幹而造成病童出現昏迷甚至休克等現象。及早發現,及早治療,獲救機會
將提高。(小兒感染科 丘秀慧醫師)
這一波肆虐台灣的腸病毒,據估計,全省大約有十萬名兒童受感染,以手足口
症及咽峽炎為主要症狀,但有少數(至7月10日止共271人),嚴重到住入全國
各大醫院的小兒加護病房,並且有54名幼童因此失去寶貴的生命,所以粗略估
計重症者在千分之2.7左右,死亡率在萬分之五左右。這些重症者臨床表現出
昏睡、心跳加快、呼吸急促、血壓下降,嚴重者會休克、死亡等。目前大家都
已同意這些重症者,主要是因為病毒侵犯腦幹所引起的,並已獲得數例屍體解
剖証實,以及中國附設醫院和彰基的磁振造影做佐証。
在這波腸病毒流行中,除了手足口症、咽峽炎和腦幹腦炎之外,有小部份的幼
兒也表現出小兒麻痺似症狀(polio-like syndrome),而且以單肢麻痺(monoplegia)
,即單側上肢或單側下肢麻痺為主要表徵。
我們回顧文獻,腸病毒71型在1973年日本流行時,當時主要症狀是手足口症,
但24%病患有中樞神經感染,其中一小部份就出現小兒麻似單肢麻痺。1975年
保加利亞全國705例感染腸病毒71型的幼兒,149人(21%)發生小兒麻痺似症,
其中44人更因此而死亡,屍體解剖証實病毒侵犯脊髓。1978年匈牙利1550個幼
兒受腸病毒71型感染,其中多數表現出腦膜炎及腦炎,但仍有13人有小兒麻痺
似症狀。
事實上,在腸病毒家族中,最容易引起小兒麻痺似症狀的不是腸病毒71型,而
是腸病毒70型。腸病毒70型通常先引起出血性結膜炎,數天之後,再併發小兒
麻痺似症狀;另外,克沙奇A7、A9、A23病毒也會引起小兒麻痺似症狀。台大
洪祖培教授最早在民國64、65年間就報告當時台灣有紅眼睛(出血性結膜炎)流
行,5-30天後,出現急性下肢麻痺的小兒麻痺似症狀;但罹病者是21到55歲成
年人。
由於腸病毒70型、71型、克沙奇病毒與小兒麻痺病毒都同屬腸病毒家族,因此
引起小兒麻痺症狀是可能的。一般而言,腸病毒70型、71型及克沙奇病毒引起
小兒麻痺似症較小兒麻痺病毒所引起的真正小兒麻痺症狀輕,而且多數可以完
全恢復。
中國醫藥學院附設醫院在這波腸病毒流行中,迄今70例有中樞神經感染的患者
中,3例出現單肢麻痺,其中2例是上肢麻痺,1例是下肢麻痺。下肢麻痺這例
是14個月大男孩,先有手足口症,5天後又因心跳加快、呼吸急促而住入加護
病房,當時磁振造影已証實他的腦幹受侵犯,小兒科醫師予以成功治療脫離危
險之後,又發現他的左下肢麻痺,磁振造影檢查發現胸椎脊髓末端脊髓灰質左
側有病變,表示受病毒侵犯(見附圖),與臨床症狀相吻合。事實上這個受侵犯
的位置正是一般小兒麻痺者脊髓被侵犯的位置,只是他被侵犯的是脊髓的一側
,因此只引起單肢麻痺。這個小男孩如我們所預料的每天都在明顯地進步中,
並已出院,他的單肢麻痺應可在一個月左右完全復原。