This page is dedicated to enteroviruses,
particularly enterovirus 71, echovirus 7 and coxsackie
group of viruses, as well as some links to adenoviruses.
It will also be a site for viral myocarditis and hand,foot
and mouth disease. General links to viruses,
epidemiological related resources and articles will be
maintained. This page started as a result of the outbreak(1997)
in Sarawak, Malaysia and later Taiwan.
Some links although redundant will be maintained
as a reminder of this event. Since then
outbreaks have occurred in Hong Kong, Japan, Singapore
and China.
This is probably the very first site
dedicated to enteroviruses esp. outbreaks in particular
EV 71 in the world since 6th June 1997!
This page is on Hand,
Foot and Mouth disease which affects humans, if you are
looking for foot and mouth disease, I
suggest you go to Foot and Mouth Disease - Vads
Corner
This page will be updated as and when information is
available.You are welcome to suggest links or comments
related to this site by e-mailing
directly to me or mentioning the link in the guestbook. I
however have the right to moderate these links. Please read the disclaimer.
APEC symposium on
Enteroviral Watch Program for Children(
Abstracts available)
NEUROLOGICAL
MANIFESTATIONS OF CHILDREN WITH
ENTEROVIRUS 71 INFECTION
VIRUS
SURVEILLANCE IN SARAWAK, MALAYSIA:
NEUROLOGICAL AND HAND, FOOT AND
MOUTH DISEASE
ACUTE NEUROLOGIC
COMPLICATIONS IN CHILDREN WITH
ENTEROVIRUS 71 INFECTION
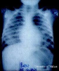
FATAL ENCEPHALITIS
SHOCK SYNDROME IN ASSOCIATION
WITH ENTEROVIRUS 71 INFECTION:
POSTULATED PATHOGENESIS BASED ON
RISK ANALYSIS
Experimental enterovirus-71
infection in mice and its
application in vaccine
development
EVIDENCE OF
ENTEROVIRUS 71 ENCEPHALITIS IN
PENINSULAR MALAYSIA
Seroepidemiological study of
enterovirus 71 before and after
the 1998 epidemic in Chinese
Taipei
Risk Factors of EV71-related
Neurologic Involvement and
Pulmonary Edema
Enterovirus type 71: Past and
Present
AN OUTBREAK OF
ENTEROVIRUS 71 IN WESTERN
AUSTRALIA WITH NEUROLOGICAL
COMPLICATIONS IN YOUNG CHILDREN
DEVELOPMENT OF
VACCINES AGAINST ENTEROVIRUS 71
CLINICAL
CHARACTERISTICS OF FATAL AND NEAR-FATAL
DISEASE ASSOCIATED WITH AN
ENTEROVIRUS OUTBREAK IN CHINESE
TAIPEI, 1998
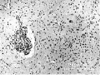
PATHOLOGIC STUDIES
OF ENTEROVIRUS 71 EPIDEMICS
MOLECULAR
EPIDEMIOLOGY OF ENTEROVIRUS 71 IN
EAST ASIA
SUCCESSFUL
TREATMENT OF A CHILD WITH
FULMINANT PULMONARY EDEMA AND
BRAINSTEM ENCEPHALITIS OF
ENTEROVIRUS 71 WITH
EXTRACORPOREAL MEMBARANE
OXYGENATION AND A PROPOSAL OF THE
TERM "ENTEROVIRUS BRAINSTEM
PULMONARY SYNDROME"
PRINCIPLES AND
POLICIES
MOLECULAR VIROLOGY
STUDY OF ENTEROVIRUS 71 ISOLATED
IN AN EPIDEMIC IN CHINESE TAIPEI,
1998
PATHOLOGY OF FATAL
ENCEPHALOMYELITIS DURING AN
OUTBREAK OF ENTEROVIRUS 71
INFECTION IN CHINESE TAIPEI
Source:
National Center For National Biotechnology Information(NCBI). When you read the MEDLINE (NLM
PubMed) abstract click on Links:
Related Articles.
Neurologic involvement in an outbreak of enterovirus 71
infection: a hospital-based study.Acta
Paediatr Taiwan. 2001 Jan-Feb;42(1):27-32.Liao HT, Hung KL.
Acute flaccid paralysis in infants and young children
with enterovirus 71 infection: MR imaging findings and
clinical correlates.AJNR Am J Neuroradiol.
2001 Jan;22(1):200-5. Chen CY, Chang YC, Huang CC, Lui CC, Lee KW,
Huang SC.
Deaths of Children during an Outbreak of Hand, Foot,
and Mouth Disease in Sarawak, Malaysia: Clinical and
Pathological Characteristics of the Disease. Clin Infect Dis. 2000 Sep;31(3):678-683.Chan
LG, Parashar UD, Lye MS, Ong FG, Zaki SR, Alexander JP,
Ho KK, Han LL, Pallansch MA, Suleiman AB, Jegathesan M,
Anderson LJ. [MEDLINE
abstract]
Genetic analysis of enterovirus 71 isolated from fatal
and non-fatal cases of hand, foot and mouth disease
during an epidemic in Taiwan, 1998. Virus
Res. 2000 Jul;68(2):127-36. Shih
SR, Ho MS, Lin KH, Wu SL, Chen YT, Wu CN, Lin TY, Chang
LY, Tsao KC, Ning HC, Chang PY, Jung SM, Hsueh C, Chang
KS [MEDLINE
abstract]
An outbreak of enterovirus 71 infection in Taiwan, 1998.
II. Laboratory diagnosis and genetic analysis.J Clin Virol. 2000 Aug;17(2):91-9.Wang JR,
Tsai HP, Chen PF, Lai YJ, Yan JJ, Kiang D, Lin KH, Liu CC,
Su IJ [MEDLINE
abstract]
Emerging and re-emerging epidemic encephalitis: a
tale of two viruses.Neuropathol Appl
Neurobiol. 2000 Aug;26(4):313-8. Wong KT [MEDLINE
abstract]
An outbreak of enterovirus 71 infection in taiwan, 1998:
epidemiologic and clinical manifestations. J
Clin Virol. 2000 Jun;17(1):23-30. Liu C, Tseng H, Wang S,
Wang J, Su I. [MEDLINE
abstract]
An outbreak of enterovirus 71 infection in taiwan 1998: A
comprehensive pathological, virological, and molecular
study on a case of fulminant encephalitis. J
Clin Virol. 2000 Jun;17(1):13-22. Yan J, Wang J, Liu C,
Yang H, Su I. [MEDLINE
abstract]
Enterovirus 71 from fatal and nonfatal cases of hand,
foot and mouth disease epidemics in Malaysia, Japan and
Taiwan in 1997-1998. Jpn J Infect Dis.
1999 Feb;52(1):12-5. Shimizu H, Utama A, Yoshii K, Yoshida H,
Yoneyama T, Sinniah M, Yusof MA, Okuno Y, Okabe N, Shih
SR, Chen HY, Wang GR, Kao CL, Chang KS, Miyamura T,
Hagiwara A.
Expression of capsid [correction of caspid] protein VP1
for use as antigen for the diagnosis of enterovirus 71
infection.J Med Virol. 2000 Jun;61(2):228-34.
Shih SR, Li YS, Chiou CC, Suen PC, Lin TY, Chang LY,
Huang YC, Tsao KC, Ning HC, Wu TZ, Chan EC. [MEDLINE
abstract]
Serotype-specific identification of enterovirus 71 by PCR.
J Clin Virol. 2000 Apr;16(2):107-12. Brown
BA, Kilpatrick DR, Oberste MS, Pallansch MA. [MEDLINE
abstract]
MRI of Enterovirus 71 myelitis with monoplegia.
Neuroradiology. 2000 Feb 8;42(2):124-127. Shen WC, Tsai C,
Chiu H, Chow K [MEDLINE
abstract]
Comparison of enterovirus 71 and coxsackie-virus A16
clinical illnesses during the Taiwan enterovirus epidemic,
1998. Pediatr Infect Dis J. 1999 Dec;18(12):1092-6. Chang
LY, Lin TY, Huang YC, Tsao KC, Shih SR, Kuo ML, Ning HC,
Chung PW, Kang CM [MEDLINE
abstract]
MR imaging findings of enteroviral encephaloymelitis: an
outbreak in Taiwan. AJNR Am J Neuroradiol. 1999 Nov-Dec;20(10):1889-95.
Shen WC, Chiu HH, Chow KC, Tsai CH [MEDLINE
abstract]
Clinical features and risk factors of pulmonary oedema
after enterovirus-71-related hand, foot, and mouth
disease. Lancet. 1999 Nov 13; 354(9191): 1682-6. Chang LY,
Lin TY, Hsu KH, Huang YC, Lin KL, Hsueh C, Shih SR, Ning
HC, Hwang MS, Wang HS, Lee CY [MEDLINE
abstract]
Identification of enterovirus 71 isolates from an
outbreak of hand, foot and mouth disease (HFMD) with
fatal cases of encephalomyelitis in Malaysia.Virus
Res. 1999 May;61(1):1-9. AbuBakar S, Chee HY, Al-Kobaisi
MF, Xiaoshan J, Chua KB, Lam SK. [MEDLINE
abstract]
Molecular epidemiology and evolution of enterovirus 71
strains isolated from 1970 to 1998. J Virol. 1999 Dec;73(12):9969-75.
Brown BA, Oberste MS, Alexander JP Jr, Kennett ML,
Pallansch MA [MEDLINE
abstract]
Isolation of subgenus B adenovirus during a fatal
outbreak of enterovirus 71-associated hand, foot, and
mouth disease in Sibu, Sarawak. Lancet. 1999 Sep 18;354(9183):987-91.
Cardosa MJ, Krishnan S, Tio PH, Perera D, Wong SC [MEDLINE
abstract]
Neurologic complications in children with enterovirus 71
infection. N Engl J Med. 1999 Sep 23;341(13):936-42.
Huang CC, Liu CC, Chang YC, Chen CY, Wang ST, Yeh TF [MEDLINE
abstract]
An epidemic of enterovirus 71 infection in Taiwan. Taiwan
Enterovirus Epidemic Working Group. N Engl J Med. 1999
Sep 23;341(13):929-35. [MEDLINE
abstract]
Clinical spectrum of enterovirus 71 infection in children
in southern Taiwan, with an emphasis on neurological
complications. Clin Infect Dis. 1999 Jul;29(1):184-90.
Wang SM, Liu CC, Tseng HW, Wang JR, Huang CC, Chen YJ,
Yang YJ, Lin SJ, Yeh TF [MEDLINE
abstract]
Sentinel surveillance for enterovirus 71, Taiwan, 1998.
Emerg Infect Dis. 1999 May-Jun;5(3):458-60. Wu TN, Tsai
SF, Li SF, Lee TF, Huang TM, Wang ML, Hsu KH, Shen CY [MEDLINE
abstract]
Outbreak of severe neurologic involvement associated with
enterovirus 71 infection. Pediatr Neurol 1999 Jan;20(1):17-23
by Komatsu H, Shimizu Y, Takeuchi Y, Ishiko H, Takada H.
[MEDLINE
abstract]
Fatal enterovirus 71 encephalomyelitis. J
Pediatr. 1998 Dec;133(6):795-79 by Lum LCS, Wong KT, Lam
SK, Chua KB, Goh AYT, Lim WL, Ong BB, Paul G, AbuBakar S,
Lambert M [MEDLINE
ABSTRACT]
Outbreak of enterovirus 71 infection in Victoria,
Australia, with a high incidence of neurologic
involvement. Pediatr Infect Dis J 7(7), 484-488 (1988) by
Gilbert et. al. [MEDLINE
abstract]
Enterovirus type 71 infections: a varied clinical pattern
sometimes mimicking paralytic poliomyelitis. Rev Infect
Dis 6, S387-S390 (1984) by Milnick et.al. [MEDLINE
abstract]
Enterovirus 71 isolated from China is serologically
similar to the prototype E71 BrCr strain but differs in
the 5'-noncoding region. J Med Virol 47(2), 161-167 (1995)
by Zheng Zm et.al. [MEDLINE
abstract]
Identification of Bulgarian strain 258 of enterovirus 71.
Intervirology 12(6), 297-302 (1980) by Melnick et.al. [MEDLINE
abstract]
Epidemiological, clinical, and pathomorphological
characteristics of epidemic poliomyelitis-like disease
caused by enterovirus 71. J Hyg Epidemiol Microbiol
Immunol 23(3), 284-295 (1979) by Shindarov LM et.al. [MEDLINE
abstract]
Enterovirus 71 isolated from cases of epidemic
poliomyelitis-like disease in Bulgaria. Arch Virol 60(3-4),
329-340 (1979) by Chumakov M et.al. [MEDLINE
abstract]
Etiology of mild acute infectious myocarditis. Relation
to clinical features. Acta Med Scand 213(1), 65-73 (1983)
by Karjalainen J et.al. [MEDLINE
abstract]
Extracorporeal membrane oxygenation: its role in the
survival of a child with adenoviral pneumonia and
myocarditis. South Med J 76(9), 1171-1173 (1983) by
Splaingard ML et.al. [MEDLINE
abstract]
Myocarditis. Epidemiology, etiology and clinical aspects
Nord Med 109(4), 111-116 (1994) by Friman G et.al. [MEDLINE
abstract]
Acute myocarditis. Rapid diagnosis by PCR in children.
Circulation 90(1), 330-339 (1994) by Martin et.al. [MEDLINE
abstract]
Coxsackie viral myocarditis: a clinical and
echocardiographic study. Indian Heart J 42(6), 441-444 (1990)
by Joy J et.al. [MEDLINE
abstract]
Clinical features of acute coxsackie B viral myocarditis.
Jpn Circ J 43(5), 441-444 (1979) by Toshima H et.al. [MEDLINE
abstract]
Google
News- Search articles and Newsgroups. Note the
information obtained from Newsgroups are not moderated
and should be interpreted with caution. Coxsackie
; Enterovirus
; HFM